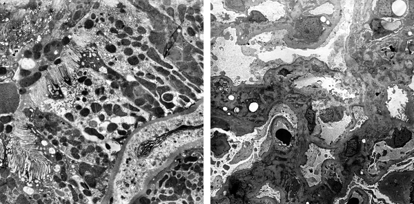
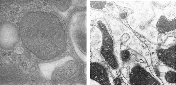
2021年7月28日,广州生物岛实验室生物医疗器械部在中巨园区举行了《高通量全自动病理切片电子成像仪》项目结题验收会。该项目是广州生物岛实验室生物医疗器械部成立后启动的第一个自立项目(2019.6-2021.6),金沙集团1862cc作为项目合作单位,生物物理所孙飞研究员和曹峰高级工程师到广州生物岛实验室兼职,分别担任此项目负责人和项目总监。项目从医院病理科电镜病理检测存在的仪器维护成本高、操作复杂、通量低、人力成本高等痛点出发,成功研制了针对病理组织切片样品的高通量扫描透射电子显微镜SmartView(图1),发明了载网托盘和新型的装载方式(图2),一次可以装载500个病理切片载网,实现了8K*8K的高速扫描透射成像能力,仪器成像分辨率优于1.1nm,可以进行病理组织切片样品高速和高质量成像(图3,图4),将有效推动生物医学病理电镜检测快速发展。
验收会议邀请了华南理工大学陈晓峰教授(专家组组长)、中科院生物物理所徐伟研究员、北京工业大学吉元研究员、中山大学赵文霞研究员、北京大学高宁教授、西安交通大学康永锋教授、金域医学电镜病理检测中心侯晓涛主任和高月敏高级会计师等8位专家对项目完成情况进行评审。
上午,项目负责人孙飞研究员向评审技术专家组介绍了项目背景和项目技术指标验收方案并得到专家组认可。随后,项目研发总监曹峰高级工程师带领评审技术专家组根据验收方案对研制的高通量扫描透射电子显微镜的各项技术指标(分辨率、加速电压稳定性、电子束流及其稳定性、高通量样品台和成像质量等)进行了现场考察和测试(图5)。通过各位专家对几种不同类型电镜照片盲测评分的数据统计,SmartView拍摄照片质量与120kV透射电镜所拍摄照片在生物切片样本成像质量方面相当,满足病理组织切片样品电镜检测的要求。
下午的专家评审验收会由生物医疗器械部张昆总监主持,科技发展部和生物医疗器械部相关业务人员以及项目组骨干成员参加了会议。孙飞研究员和曹峰高级工程师分别对项目的研发背景、研发内容、指标完成、研发成果和经费使用等情况进行了详细汇报(图6)。评审专家分别从项目设计的科学性、合理性、创新性、研究成果产出和经费决算等方面进行了评价,对项目所取得的成果给予了充分的肯定。
专家们指出,电镜病理检测技术对于肿瘤、肾病、消化、血液和神经等疾病的诊断和病原体的检测分析具有重要的作用。当前医学病理切片电镜检测工作由于通量低、操作复杂,对人员专业要求高,阻碍了电镜病理检测技术在广大临床医院中的推广和应用。本项目所研制的高通量全自动病理切片电子成像仪Smart View能够解决这一痛点和难点问题,降低电镜病理检测工作的技术门槛,促进电镜病理检测技术在人类疾病诊断中的广泛应用,具有良好的社会经济意义。此外,专家们也对项目后续研发和转化工作给出了建设性意见。最后,评审专家组一致同意通过该项目的结题验收(图7),并建议广州生物岛实验室进一步加大对项目研究团队的支持和投入,保障项目团队在生物医学电子显微仪器研发领域取得更多更好的成绩。
该项目的顺利实施,得到了徐涛院士研究组、生物物理所生物成像中心的大力支持与帮助。

图1. 高通量全自动病理切片电子成像仪

图2 电镜载网上的病理组织切片样品(SmartView背散射电子图像)

图3 利用SmartView对病理组织切片样品进行成像(中倍STEM像)

图4. 利用SmartView对病理组织切片样品进行成像(高倍STEM像)

图5. 项目验收会现场

图6. 项目负责人汇报


图7. 验收专家与生物岛实验室相关人员合影

图8. 生物医学电子显微成像技术研究组全体合影
(供稿:孙飞研究组)
附件下载: