获奖作品展

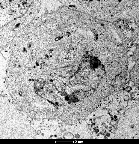
孕育

发布时间:2022-07-13

  作者:贾星

  作品说明:病毒感染的BHK细胞,细胞核变形成类似一个胚胎。

  图片来源:科学研究平台生物成像中心Tecnai spirit 120kV透射电子显微镜


联系我们

  • 地址:北京市朝阳区大屯路15号
  • 电话:010-64888419