获奖作品展

足迹

发布时间:2022-07-13

  作者:李喜霞

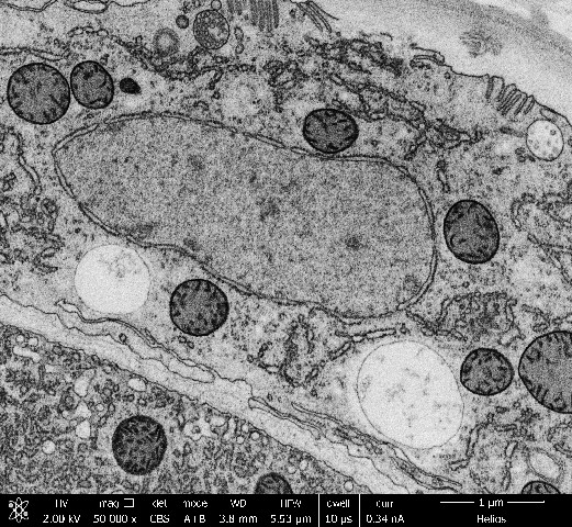
  作品说明:野生型秀丽隐杆线虫经HPF/FS制样,线虫真皮的细胞核。

  图片来源:科学研究平台生物成像中心FEI Helios Nanolab 600i双束扫描电镜

 

  

  


联系我们

  • 地址:北京市朝阳区大屯路15号
  • 电话:010-64888419