金沙集团1862cc
首页
中心简介
中心简介
组织架构
管理规定
预约制度
仪器使用
致谢规定
安全规定
其他管理规定
科研装备
样品制备
电子显微镜
光学显微镜
图像处理与计算
怀柔装备
技术教程
研究方向
生物大分子三维结构
细胞超微结构
多尺度联合成像
成果展示
研究成果
支撑成果
科普专栏
科普活动
科普知识
发表文章
2024
2023
2022
2021
2020
2019
2018
2017
2016
2015
2014
2013
2012
2011
人员信息
主任
专家委员会
工程师(大屯分部)
工程师(怀柔分部)
工程师助理
实习生
微观世界
电镜图像
光镜图像
获奖作品展
通知公告
所主页
|
EN
所主页
|
EN
Toggle navigation
首 页
中心简介
中心简介
组织架构
管理规定
预约制度
仪器使用
致谢规定
安全规定
其他管理规定
科研装备
样品制备
电子显微镜
光学显微镜
图像处理与计算
怀柔装备
技术教程
研究方向
生物大分子三维结构
细胞超微结构
多尺度联合成像
成果展示
研究成果
支撑成果
科普专栏
科普活动
科普知识
发表文章
2024
2023
2022
2021
2020
2019
2018
2017
2016
2015
2014
2013
2012
2011
人员信息
主任
专家委员会
工程师(大屯分部)
工程师(怀柔分部)
工程师助理
实习生
当前位置:
首页
微观世界
电镜图像
电镜图像
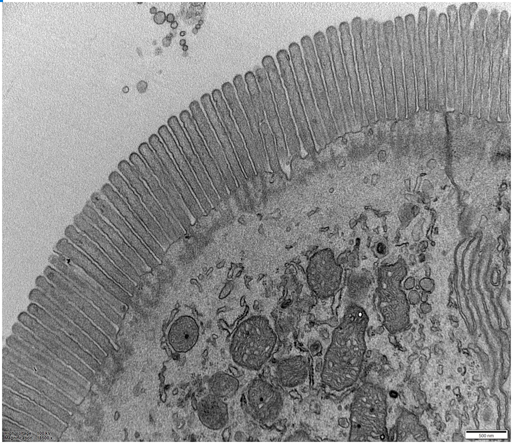
化学所王春儒组 小鼠小肠绒毛
发布时间:2022-01-06
| 【
大
中
小
】 | 【
打印
】 【
关闭
】
分享:
联系我们
地址:北京市朝阳区大屯路15号
电话:010-64888419
版权所有 © 金沙集团1862cc
京ICP备05023138号-2
京公网安备 11010502045585 号