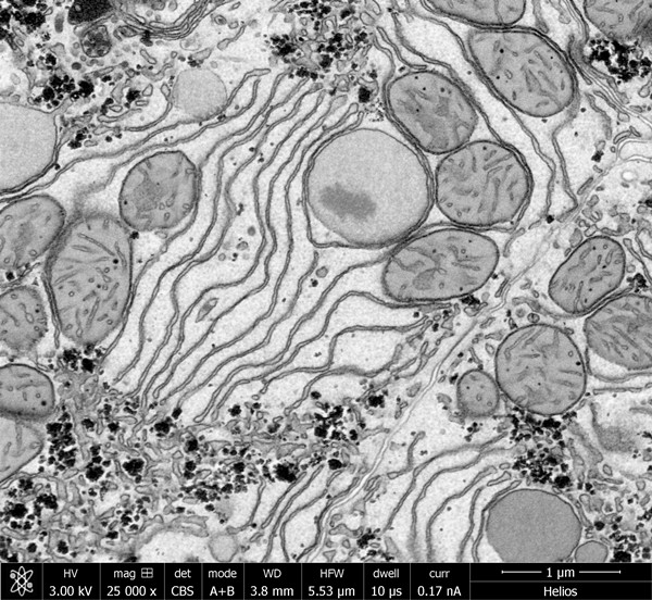
小鼠肝脏细胞内线粒体的扫描电镜成像

Courtesy of Jianguo Zhang, CBI, IBP, CAS, China
Image Details:
Instrument used: FEI Helios Nanolab 600i
Accelerating voltage: 3 kV;
Magnification: 25000x ;
Current: 0.17 nA

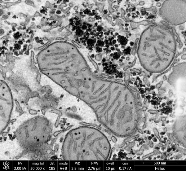
Courtesy of Jianguo Zhang, CBI, IBP, CAS, China
Image Details:
Instrument used: FEI Helios Nanolab 600i
Accelerating voltage: 3 kV;
Magnification: 50000x ;
Current: 0.17 nA